Pattern of Street Repression: What X-Rays Reveal About Injuries from the 2026 Protests

This is a translated summary of Factnameh’s report based on a joint investigation with The Guardian.
In mid-January 2026, Iran witnessed one of the bloodiest episodes of street repression in its contemporary history. Protests that began over mounting economic, social, and political crises quickly escalated into direct confrontations between demonstrators and security forces. Within two days, streets in several cities turned into live-fire zones.
While officials offered conflicting accounts and restricted media access, one set of evidence remained hard to obscure: the bodies of the wounded.
This joint investigation by Factnameh and The Guardian is built around 78 medical images—X-rays, CT scans, and CT angiography—taken from 64 injured people treated at a single hospital in a major Iranian city on 8th and 9th of January. The images were independently verified and reviewed by emergency physicians and a ballistics expert.
Of the 64 cases, 59 showed clear radiological evidence of gunshot or shotgun pellet injuries and were included in the final analysis. Five were excluded due to lack of definitive projectile evidence.
Who was injured?
Among the 59 confirmed firearm cases:
- 48 were men, 11 were women.
- Age was recorded for 40 patients, ranging from 15 to 60 years old.
- The largest age groups were 15–25 and 26–35, each with 11 cases.
- A notable detail: 19 cases lacked recorded age data. Many of these involved severe head, face, neck, or chest injuries—though the absence of age cannot be definitively linked to medical condition.
Imaging was conducted in a compressed time window.
- 32 cases were scanned in the early hours of January 9th, likely injured the previous day.
- 27 cases were scanned later on January 9th and into 10th, corresponding to the second day of shootings.
The pattern suggests sustained, heavy use of firearms over at least two consecutive days.

Where were people shot?
Across the 59 confirmed cases, there were 69 distinct anatomical injury events, since some individuals were hit in more than one body part.

The distribution shows a striking pattern:
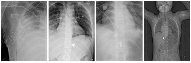
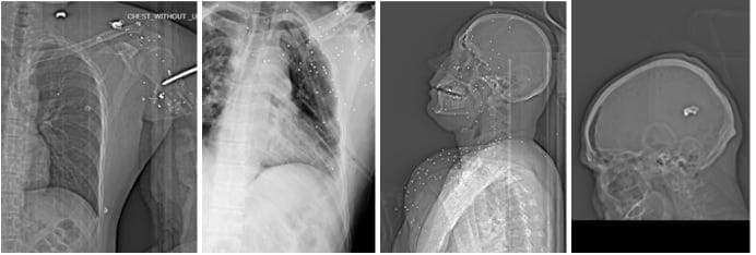
1. Head, face, eyes, and neck
A significant number of injuries involved the face and eye sockets, often with multiple shotgun pellets embedded around the orbit. Doctors repeatedly warned of a high risk of permanent blindness.

In some cases, pellets were lodged near the skull base or even inside the cranial cavity, raising the risk of brain injury, permanent neurological damage, or death.
One case showed a bullet in the neck causing tracheal displacement, with signs consistent with bleeding and swelling. Physicians noted the potential for major vascular injury, stroke, or fatal hemorrhage.
2. Chest and lungs
Several patients suffered penetrating chest trauma. Recurrent findings included:
- Pneumothorax (air compressing the lung)
- Hemothorax (blood filling the chest cavity)
- Subcutaneous air from open wounds
- Chest tubes inserted as emergency intervention

Untreated, such injuries can be fatal within minutes. Some scans suggested projectiles may have traversed the chest, potentially damaging multiple organs.
3. Abdomen, pelvis, and genital region
Pelvic fractures, embedded metal fragments, and soft tissue destruction were documented. Doctors noted possible injuries to the bladder, intestines, and reproductive organs—raising risks of long-term consequences such as infertility, incontinence, or sexual dysfunction.
In severe pelvic and femur fractures, physicians warned of possible damage to major blood vessels, including the femoral artery, with life-threatening bleeding.

Four cases of pelvic, thigh, and hip injuries: in three images, multiple shotgun pellets are scattered through the soft tissue around the pelvis and thigh, and in one image, there is severe destruction with a comminuted fracture of the femur accompanied b
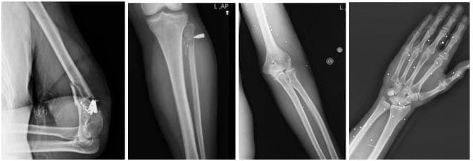
4. Arms and legs
Many scans showed comminuted fractures—bones shattered into multiple fragments consistent with high-energy ballistic trauma.
Pellet scatter around the knees and thighs appeared frequently. Even when bones were intact, the risk of nerve and vascular damage remained significant. One case involved a lower-leg amputation, though its exact cause could not be definitively attributed to gunfire.
Importantly, 10 individuals were shot in more than one distinct body region, indicating multiple hits.

Comminuted fracture around the elbow joint with metal fragments, diaphyseal fractures of the forearm bones consistent with projectile penetration, and multiple pellet dispersions in the hand and wrist.
What weapons were used?
The radiological evidence reveals two dominant patterns of fire:
A) Shotguns — especially 12-gauge birdshot
45 of 59 confirmed cases
These injuries show multiple small, dense metallic pellets scattered in soft tissue. Doctors described:
- Multiple pellet wounds to the head, face, neck, and limbs
- Numerous eye injuries with high blindness risk
- Cases consistent with close-range fire, including dense pellet clustering
- In some instances, the presence of a shotgun wad—suggesting very close distance

Spent 12-gauge and 7.62×39 mm cartridges recovered by protesters in the Naziabad area and Vahdat-e Eslami Street in Tehran.
Although birdshot is sometimes described as “less lethal,” the medical evidence here shows repeated patterns of life-threatening and permanently disabling injuries, especially when directed at the head and chest.
There was also 1 confirmed case of 12-gauge slug ammunition, involving a single large projectile with severe focused destruction and high lethality risk.
B) 7.62×39mm high-velocity bullets
10 cases
These injuries were consistent with ammunition fired from Kalashnikov-pattern assault rifles such as the AK-47 and its variants (including AKM, Type 56, and locally produced derivatives).
Radiological features included:
- Large deformed metal projectiles
- Deep penetration
- Severe bone fragmentation
- Projectiles lodged inside the body
- Chest trauma with pneumothorax
- One case of brain injury with high mortality risk
- One case of a neck wound with tracheal displacement
- Several suspected femoral artery injuries
Among all weapon categories, the 7.62mm cases showed the highest tissue destruction and lethality potential.
C) Three additional cases
These showed high-velocity projectile damage but lacked enough imaging detail to assign a specific caliber.
A consistent pattern
This investigation relies solely on medical imaging, without eyewitness testimony or political claims. The conclusions are therefore limited to what radiology can show. Imaging cannot determine the exact firing distance or intent. But it can reveal:
- Type of projectile
- Energy transfer
- Anatomical targeting
- Severity of trauma
Several recurring elements stand out:
- High concentration of injuries to the head, face, and eyes
- Frequent pellet clustering consistent with close-range fire
- Repeated life-threatening chest trauma
- Severe comminuted fractures from high-velocity rounds
- Multiple-body-region hits in individual victims
Physicians reviewing the scans repeatedly used clinical language such as “very high risk of death,” “catastrophic injury,” “life-threatening hemorrhage,” and “devastating stroke risk.”
In short, the radiological record documents not random dispersal of force but patterned, repeated firearm use resulting in severe and often permanently disabling injuries.
In an environment where official narratives conflict and independent access is restricted, these 78 images offer a rare, forensic window into what happened over two days in January 2026. They show not just that live ammunition was used but how, where, and with what medical consequences.